がん細胞の接着を回復させる機構-アクトミオシン収縮による細胞境界面の張力が誘導- 医療・健康

がん細胞の接着を回復させる機構-アクトミオシン収縮による細胞境界面の張力が誘導-

2017-12-6 理化学研究所理化学研究所(理研)多細胞システム形成研究センター高次構造形成研究チームの竹市雅俊チームリーダー、伊藤祥子研究員と環境資源科学研究センター創薬シード化合物探索基盤ユニットの大貫哲男副基盤ユニットリーダーらの共...
微生物の有害性遺伝子を数分で検索できるデータベースを公開 細胞遺伝子工学

微生物の有害性遺伝子を数分で検索できるデータベースを公開

2017-12-6 Nite発表日:平成29年12月6日(水)タイトル:微生物の有害性遺伝子を数分で検索できるデータベースを公開-ゲノム情報から素早く推定し、健全な産業活動に貢献-発表者名:独立行政法人製品評価技術基盤機構バイオテクノロジー...
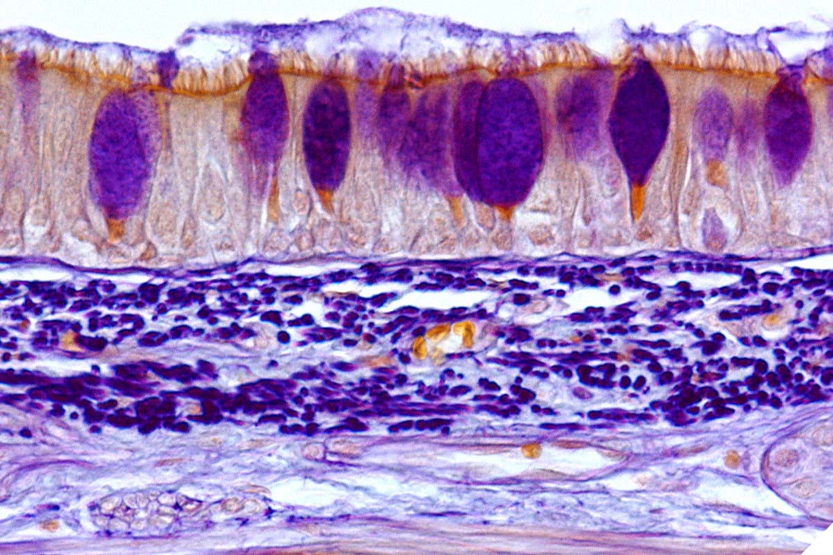
コンドロイチン硫酸プロテオグリカンに対するプロタミンの中和作用の発見 医療・健康

コンドロイチン硫酸プロテオグリカンに対するプロタミンの中和作用の発見

髄鞘再生を促す薬剤開発のための細胞スクリーニング系の開発2017-12-08 基礎生物学研究所基礎生物学研究所 統合神経生物学研究部門では、これまでタンパク質チロシンホスファターゼである PTPRZ が脱髄疾患である多発性硬化症や悪性の脳腫...
ad
大腸分泌系上皮細胞の可塑性による新たな組織再生・腫瘍発生機構を解明 医療・健康

大腸分泌系上皮細胞の可塑性による新たな組織再生・腫瘍発生機構を解明

―炎症性腸疾患における粘膜再生治療の開発や腫瘍発生機構の解明に期待―2017-12-8 国立大学法人東京医科歯科大学,国立研究開発法人日本医療研究開発機構 大腸分泌系上皮細胞(ATOH1陽性細胞)は大腸幹細胞から分化し生体恒常性を維持してい...
長期記憶形成に必須な分子メカニズムを特定 医療・健康

長期記憶形成に必須な分子メカニズムを特定

~タンパク質の設計図を神経樹状突起へ局在化させる因子が不可欠~2017-11-21 基礎生物学研究所基礎生物学研究所/岡崎統合バイオサイエンスセンター 神経細胞生物学研究室の中山啓助教、大橋りえ大学院生(総合研究大学院大学)、椎名伸之准教授...
シグナル分子(モルフォゲン)の足場となる点状構造の発見 生物工学一般

シグナル分子(モルフォゲン)の足場となる点状構造の発見

からだの前後のパターンは"点描"で描かれていた 〜シグナル分子(モルフォゲン)の足場となる点状構造の発見とその役割の解明〜 2017-12-07 基礎生物学研究所,東京大学発表者:三井 優輔(基礎生物学研究所分子発生学研究部門 助教)山元 ...
ADHD児診断を高感度で予測 医療・健康

ADHD児診断を高感度で予測

注意欠如・多動症(ADHD)児の診断を高感度で予測する手法を開発2017-12-1 国立研究開発法人 国立精神・神経医療研究センター(NCNP)国立研究開発法人 国立精神・神経医療研究センター(NCNP、東京都小平市 理事長:水澤英洋)精神...
プラバスタチン長期投与は脳梗塞既往患者の頚動脈硬化の進展を抑制 ~J-STARS Echo研究~ 医療・健康

プラバスタチン長期投与は脳梗塞既往患者の頚動脈硬化の進展を抑制 ~J-STARS Echo研究~

2017-12-1 国立循環器病研究センター国立循環器病研究センター(略称:国循)脳血管内科の古賀政利医長、豊田一則副院長、峰松一夫病院長らの研究チームは、脳梗塞を発症した患者に対する低用量プラバスタチン(10mg/日)長期投与による頚動脈...
感染症封じ込めへ研究拠点のネットワークを強化 医療・健康

感染症封じ込めへ研究拠点のネットワークを強化

【すべての人に健康を Vol.3】感染症封じ込めへ研究拠点のネットワークを強化2017-12-4 JICAガーナの野口記念医学研究所で実験する日本人専門家と現地研究者ら(写真:飯塚明夫/JICA)西アフリカで2014年、エボラ出血熱が大流行...
石綿による健康被害の救済について 医療・健康

石綿による健康被害の救済について

2017-12-4 大気環境保健対策石綿による健康被害の救済に関する法律に基づく指定疾病の認定に係る医学的判定の結果について環境大臣は、石綿による健康被害の救済に関する法律に基づき、(独)環境再生保全機構(以下「機構」という。)からの申出に...
新規ADCを用いた子宮がん肉腫対象医師主導治験開始 医療・健康

新規ADCを用いた子宮がん肉腫対象医師主導治験開始

企業主導開発が困難な超希少がんの臨床試験計画や新薬開発手法の確立を目指す新規ADCを用いた子宮がん肉腫対象医師主導治験開始2017-12-4 国立研究開発法人国立がん研究センター国立研究開発法人国立がん研究センター(理事長:中釜 斉、東京都...
神経回路形成の基本原理に見直しを迫る 生物化学工学

神経回路形成の基本原理に見直しを迫る

百年を超えて信じられてきた神経回路形成の基本原理に見直しを迫る2017-12-4 国立遺伝学研究所本研究では、腹側正中線並びに脳室帯特異的に軸索誘導分子ネトリン1(Ntn1)を欠損したマウスを作成し(Ntn1FP-Ko, Ntn1VZ-Ko...
ad
タイトルとURLをコピーしました