医療・健康 日本医療研究開発機構
医療・健康
生物化学工学 コンパクトなDNAをスムーズに転写する仕組み
細胞遺伝子工学 遺伝子操作によって腎臓を作ることができない動物に別の種の多能性幹細胞からなる腎臓を発生させることに成功
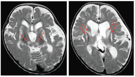
医療・健康 日本発・小児期Leigh脳症を起こす新しい病因遺伝子の発見
医療・健康 ALK融合遺伝子陽性肺がんに対する薬剤耐性変異予測と、既存薬を活用した耐性克服法の発見
医療・健康 多職種連携で行う脳卒中患者の「口腔機能管理マニュアル」完成のお知らせ
医療・健康 思春期早期における向社会性の発達に脳帯状回の神経代謝と機能的ネットワークが関連することを発見
医療・健康 日本人に多い卵巣明細胞がんなどでみられるARID1A遺伝子変異がんを対象に代謝(メタボローム)を標的とした新たながん治療法を発見
医療・健康 健常者から単離~感染抵抗性や抗腫瘍効果を高める腸内細菌株~
医療・健康 精神疾患に関わる脳内ネットワークを推定するAI手法を開発!
医療・健康 慢性活動性EBウイルス感染症の原因と、身近なウイルスががんを引き起こす仕組みを解明
医療・健康 