2025-05-20 カリフォルニア大学サンフランシスコ校(UCSF)
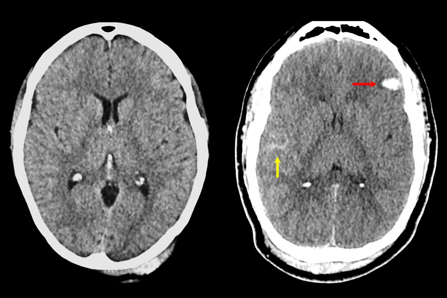
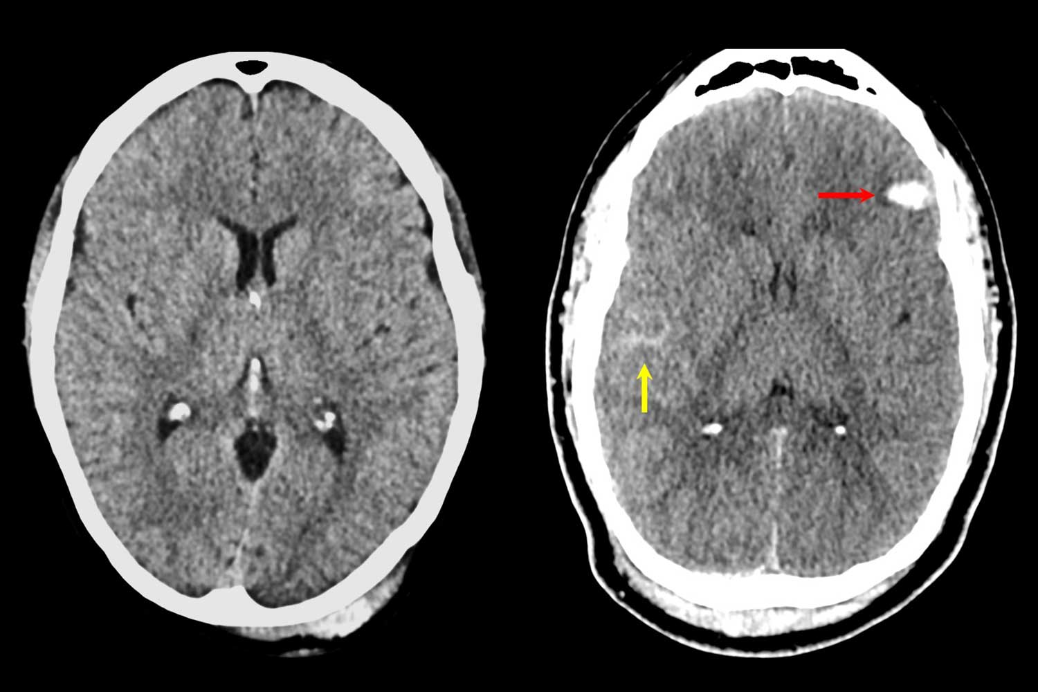
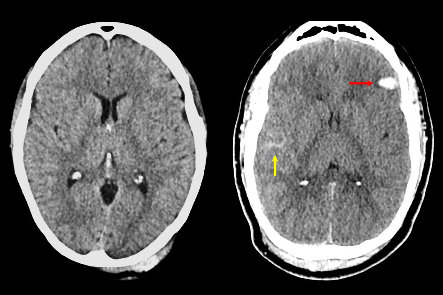
These images show how treatment is impacted by the new TBI framework. The left image shows a clear CT, but a higher biomarker level and a brief period of amnesia and other symptoms would result in follow-up and symptom-targeted treatment.
<関連情報>
- https://www.ucsf.edu/news/2025/05/430026/how-serious-your-brain-injury-new-criteria-will-reveal-more
- https://www.thelancet.com/journals/laneur/article/PIIS1474-4422(25)00154-1/abstract
急性外傷性脳損傷の新たな特徴づけ:NIH-NINDS TBI分類および命名イニシアチブ A new characterisation of acute traumatic brain injury: the NIH-NINDS TBI Classification and Nomenclature Initiative
Prof Geoffrey T Manley, MD ∙ Prof Kristen Dams-O’Connor, PhD ∙ Michael L Alosco, PhD ∙ Hibah O Awwad, PhD ∙ Prof Jeffery J Bazarian, MD ∙ Prof Peter Bragge, BPhysio ∙ et al.
The Lancet Neurology Published: June 2025
DOI:https://doi.org/10.1016/S1474-4422(25)00154-1
Summary
The clinical severity of traumatic brain injury (TBI) is commonly classified according to the Glasgow Coma Scale (GCS) sum score as mild (13–15), moderate (9–12), or severe (3–8). A new approach is needed for characterising TBI more accurately. In 2022, the US National Institutes of Health–National Institute of Neurological Disorders and Stroke launched an international initiative to address this need, with a focus on the acute phase of injury. Six working groups of TBI experts, implementation scientists, people with lived experience, and federal partners were established, involving 94 participants from 14 countries. The proposed new framework for the characterisation of acute TBI incorporates four pillars: a clinical pillar (full GCS and pupillary reactivity); a biomarker pillar (blood-based measures); an imaging pillar (pathoanatomical measures); and a modifier pillar (features influencing clinical presentation and outcome; CBI-M). The CBI-M framework provides a multidimensional characterisation of TBI to inform individualised clinical management and to improve scientific rigor. Research priorities include validation of the CBI-M framework, evaluation of its applicability beyond the acute phase of TBI, and strategies for clinical implementation.


